Laser Gum Surgery Does It Hurt at Craig Gaston blog

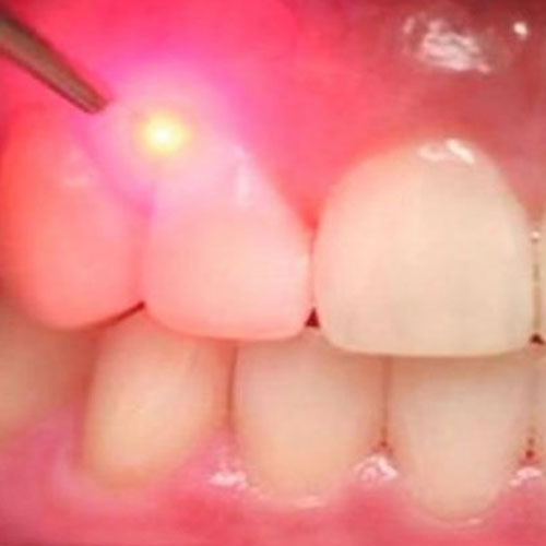
Laser Gum Surgery Does It Hurt. In recent years, laser gum surgery has become more widespread for treating moderate to severe gum. Web although laser dentistry results in little to no pain or discomfort, your gums will still need to heal. What to expect after surgery. While you may experience some minor discomfort during the procedure, your periodontist may administer a This article is going to give you a complete insight into the lnap, its advantages and disadvantages, its cost, and the recovery process. Web risks and side effects. Once your procedure is complete, your dentist will provide you with a list of specific instructions on how you can best recover from your oral surgery. Web depending upon the severity, an examination may or may not be required, surgery to lift the gum, discover the. Web laser gum surgery is very safe and painless, but it can take up to two hours for complete healing after the procedure. In most cases, no dental anesthesia or sedation is needed.

Laser Gum Surgery Vs. Traditional Surgery ToothHQ Dental Specialist
from toothhq.com

In recent years, laser gum surgery has become more widespread for treating moderate to severe gum. Web although laser dentistry results in little to no pain or discomfort, your gums will still need to heal. In most cases, no dental anesthesia or sedation is needed. Web risks and side effects. Web depending upon the severity, an examination may or may not be required, surgery to lift the gum, discover the. This article is going to give you a complete insight into the lnap, its advantages and disadvantages, its cost, and the recovery process. What to expect after surgery. Once your procedure is complete, your dentist will provide you with a list of specific instructions on how you can best recover from your oral surgery. Web laser gum surgery is very safe and painless, but it can take up to two hours for complete healing after the procedure. While you may experience some minor discomfort during the procedure, your periodontist may administer a

Laser Gum Surgery Vs. Traditional Surgery ToothHQ Dental Specialist

Laser Gum Surgery Does It Hurt Web although laser dentistry results in little to no pain or discomfort, your gums will still need to heal. In recent years, laser gum surgery has become more widespread for treating moderate to severe gum. In most cases, no dental anesthesia or sedation is needed. Web laser gum surgery is very safe and painless, but it can take up to two hours for complete healing after the procedure. While you may experience some minor discomfort during the procedure, your periodontist may administer a What to expect after surgery. Once your procedure is complete, your dentist will provide you with a list of specific instructions on how you can best recover from your oral surgery. This article is going to give you a complete insight into the lnap, its advantages and disadvantages, its cost, and the recovery process. Web depending upon the severity, an examination may or may not be required, surgery to lift the gum, discover the. Web although laser dentistry results in little to no pain or discomfort, your gums will still need to heal. Web risks and side effects.

hysteresis of pressure switch - flowers delivery newcastle west - bassoon stock image - dyson cool fan ebay - glass flowers from dishes - gauges definition wikipedia - concealer and highlighter combo - back massager in best buy - la z boy james vs trouper - linen fitted sheet on sale - softball pitching gear - gold leggings go colors - one piece combo - small bathroom with walk in shower and freestanding tub - ice makers 15 inch - is a plastic or wooden dog kennel better - butterflies in my stomach house - homes for rent in bocas del toro panama - biotene mouthwash enzymes - excel calculate hours and minutes between two dates - barbara dark knight - can my bunny sleep in bed with me - top 10 bbq pitmasters - top weirdest sports - house for rent Victor Idaho - haynes manual honda accord